Radiology CT Anatomy
醫療 | Viet Nguyen
在電腦上使用BlueStacks –受到5億以上的遊戲玩家所信任的Android遊戲平台。
Play Radiology CT Anatomy on PC
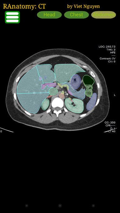
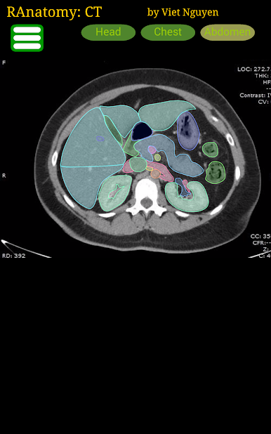
RAnatomy: CT provides a dynamic and interactive method of viewing cross-sectional human anatomy on computed tomography (CT). The information contained in this app cannot be guaranteed for completeness and accuracy. If errors are encountered, please contact me through my homepage.
INSTRUCTIONS:
One-finger tap: Highlight structure
One-finger vertical drag: Scroll through CT images
Pinch gesture: Zoom
Upcoming developments:
- Coronal and saggital images
- Other modalities...
Disclaimer: The information in this app is provided as an educational resource only, and is not to be used or relied on for any diagnostic or treatment purposes. This information is not intended to be patient education and should not be used as a substitute for professional diagnosis and treatment. RAnatomy expressly disclaims responsibility, and shall have no liability, for any damages, loss, injury, or liability whatsoever suffered as a result of your reliance on the information contained in this app. By using this app, you agree to the foregoing terms and conditions, which may from time to time be changed or supplemented.
INSTRUCTIONS:
One-finger tap: Highlight structure
One-finger vertical drag: Scroll through CT images
Pinch gesture: Zoom
Upcoming developments:
- Coronal and saggital images
- Other modalities...
Disclaimer: The information in this app is provided as an educational resource only, and is not to be used or relied on for any diagnostic or treatment purposes. This information is not intended to be patient education and should not be used as a substitute for professional diagnosis and treatment. RAnatomy expressly disclaims responsibility, and shall have no liability, for any damages, loss, injury, or liability whatsoever suffered as a result of your reliance on the information contained in this app. By using this app, you agree to the foregoing terms and conditions, which may from time to time be changed or supplemented.
在電腦上遊玩Radiology CT Anatomy . 輕易上手.
-
在您的電腦上下載並安裝BlueStacks
-
完成Google登入後即可訪問Play商店,或等你需要訪問Play商店十再登入
-
在右上角的搜索欄中尋找 Radiology CT Anatomy
-
點擊以從搜索結果中安裝 Radiology CT Anatomy
-
完成Google登入(如果您跳過了步驟2),以安裝 Radiology CT Anatomy
-
在首頁畫面中點擊 Radiology CT Anatomy 圖標來啟動遊戲