CytoAtlas
의료 | CytoAtlas
5억명 이상의 게이머가 신뢰하는 안드로이드 게임 플랫폼 BlueStacks으로 PC에서 플레이하세요.
Play CytoAtlas on PC
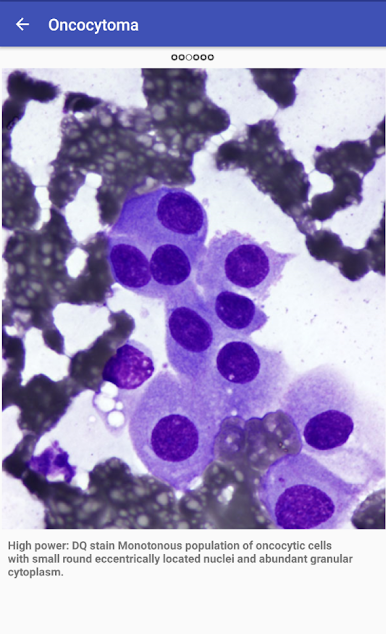
CytoAtlas provides a quick and handy Cytopathology reference tool with focus on diagnostic criteria.
Content:
- Over 800 high quality slide images from exfoliative and aspiration cytology
- Over 120 diagnostic entities in Cytopathology categorized by different organ systems
- Slide images including direct smears, cell blocks, and liquid-based preparations
- Key morphologic characteristics including architecture, nuclear, and cytologic features
- Reference to journal articles and ancillary studies, if relevant
Features
- Intuitive and user friendly interface
- Chapters can be navigated by scrolling up and down
- Images can be opened by tapping and selecting a diagnostic entity
- Multiple images can be navigated by swiping to the right
- High quality slide images with zoom and pan function
- Full screen images can be accessed by tapping the image
- Key features can be accessed by swiping to the left
- Search through the database to quickly find the right diagnostic entity
- CytoAtlas requires an active internet to view images
CytoAtlas is intended to be a learning aid for physicians, medical students and technologists interested in Cytopathology and provides a quick reference resource for common cytologic diagnoses. Created by Cytopathologists the current database has over 800 high quality slide images with morphologic descriptions and highlighted key features in over 100 diagnostic entities. In this initial release we have included the most common entities, including normal and malignant, that are encountered in the practice of exfoliative and aspiration cytology.
We are always looking to make improvements to our products. Visit us at cytoatlas.com with questions or suggestions.
Content:
- Over 800 high quality slide images from exfoliative and aspiration cytology
- Over 120 diagnostic entities in Cytopathology categorized by different organ systems
- Slide images including direct smears, cell blocks, and liquid-based preparations
- Key morphologic characteristics including architecture, nuclear, and cytologic features
- Reference to journal articles and ancillary studies, if relevant
Features
- Intuitive and user friendly interface
- Chapters can be navigated by scrolling up and down
- Images can be opened by tapping and selecting a diagnostic entity
- Multiple images can be navigated by swiping to the right
- High quality slide images with zoom and pan function
- Full screen images can be accessed by tapping the image
- Key features can be accessed by swiping to the left
- Search through the database to quickly find the right diagnostic entity
- CytoAtlas requires an active internet to view images
CytoAtlas is intended to be a learning aid for physicians, medical students and technologists interested in Cytopathology and provides a quick reference resource for common cytologic diagnoses. Created by Cytopathologists the current database has over 800 high quality slide images with morphologic descriptions and highlighted key features in over 100 diagnostic entities. In this initial release we have included the most common entities, including normal and malignant, that are encountered in the practice of exfoliative and aspiration cytology.
We are always looking to make improvements to our products. Visit us at cytoatlas.com with questions or suggestions.
PC에서 CytoAtlas 플레이해보세요.
-
BlueStacks 다운로드하고 설치
-
Google Play 스토어에 로그인 하기(나중에 진행가능)
-
오른쪽 상단 코너에 CytoAtlas 검색
-
검색 결과 중 CytoAtlas 선택하여 설치
-
구글 로그인 진행(만약 2단계를 지나갔을 경우) 후 CytoAtlas 설치
-
메인 홈화면에서 CytoAtlas 선택하여 실행