iRadTech
醫療 | RadTech Resource Group
在電腦上使用BlueStacks –受到5億以上的遊戲玩家所信任的Android遊戲平台。
暢玩 iRadTech 電腦版
醫學影像專業人士和學生的放射線定位指南
類似於 X 射線袖珍指南或參考手冊。
200多個射線照相位置的詳細說明:
1、技術因素
2.影像接收器的尺寸和方向
3. 患者和部位定位
4.呼吸指令
5. 中心光線入口/出口點和角度
6.影像品質要點
7. 結構展示
為所有位置添加了建議的數位成像系統技術因素設定(腎斷層掃描除外)。
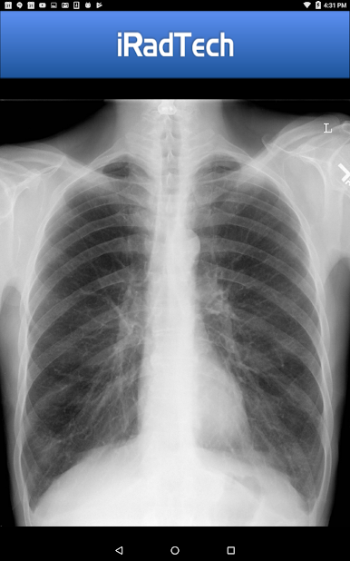
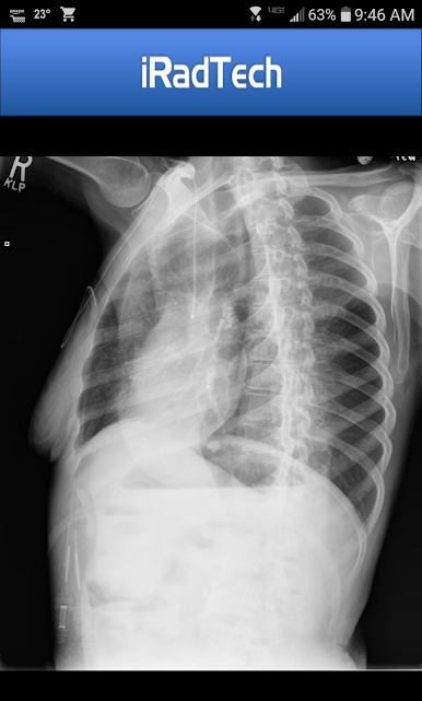
可以放大代表性放射線影像以進行更仔細的檢查。
正確定位的人體模型的放大照片,顯示與中心光線進入點正確准直的興趣區域。
每個位置都有一個有用的“註釋”選項卡;保存技術、特殊術語或其他有用的信息。
搜尋功能可在職位標題和/或說明中找到搜尋字詞。
我的例程功能允許將選定的位置分組到已儲存的例程中。
我的筆記功能允許保存與職位無關的筆記。
使用 ARRT 內容規範開發,幾乎包括所有 ARRT 入門級射線照相位置。
- 包括可在臨床實踐中訂購的「可選」位置。這些可選位置被作者和其他教育同事認為是方便的參考,但未列在 ARRT 放射線攝影內容中。
參考最新 ASRT 放射學課程和國家定位文本的說明。
由 2 位博士撰寫和編輯。放射學教育工作者,每位都有 30 多年的教學經驗。
患者定位的便利指南,對放射學學生來說是寶貴的學習輔助工具。
對於技術人員和臨床講師來說是一個很好的參考和審查工具。
類似於 X 射線袖珍指南或參考手冊。
200多個射線照相位置的詳細說明:
1、技術因素
2.影像接收器的尺寸和方向
3. 患者和部位定位
4.呼吸指令
5. 中心光線入口/出口點和角度
6.影像品質要點
7. 結構展示
為所有位置添加了建議的數位成像系統技術因素設定(腎斷層掃描除外)。
可以放大代表性放射線影像以進行更仔細的檢查。
正確定位的人體模型的放大照片,顯示與中心光線進入點正確准直的興趣區域。
每個位置都有一個有用的“註釋”選項卡;保存技術、特殊術語或其他有用的信息。
搜尋功能可在職位標題和/或說明中找到搜尋字詞。
我的例程功能允許將選定的位置分組到已儲存的例程中。
我的筆記功能允許保存與職位無關的筆記。
使用 ARRT 內容規範開發,幾乎包括所有 ARRT 入門級射線照相位置。
- 包括可在臨床實踐中訂購的「可選」位置。這些可選位置被作者和其他教育同事認為是方便的參考,但未列在 ARRT 放射線攝影內容中。
參考最新 ASRT 放射學課程和國家定位文本的說明。
由 2 位博士撰寫和編輯。放射學教育工作者,每位都有 30 多年的教學經驗。
患者定位的便利指南,對放射學學生來說是寶貴的學習輔助工具。
對於技術人員和臨床講師來說是一個很好的參考和審查工具。
在電腦上遊玩iRadTech . 輕易上手.
-
在您的電腦上下載並安裝BlueStacks
-
完成Google登入後即可訪問Play商店,或等你需要訪問Play商店十再登入
-
在右上角的搜索欄中尋找 iRadTech
-
點擊以從搜索結果中安裝 iRadTech
-
完成Google登入(如果您跳過了步驟2),以安裝 iRadTech
-
在首頁畫面中點擊 iRadTech 圖標來啟動遊戲