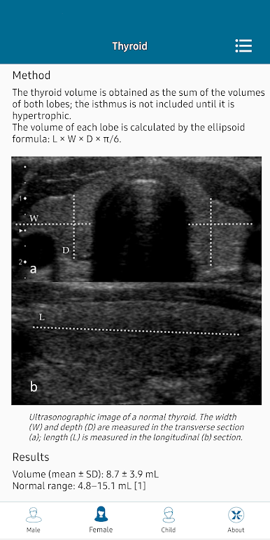
Radiology Measurements
醫療 | XAKTIS
在電腦上使用BlueStacks –受到5億以上的遊戲玩家所信任的Android遊戲平台。
Play Radiology Measurements on PC
Created by radiologists for all those who practice medical imaging, this application constitutes an atlas of the main measurements in radiology and their normal values based on the most cited literature. It illustrates easy and reproducible methods using different imaging methods.
The application covers multiple imaging modalities: radiography, ultrasound, CT and MRI. The modules are divided into six sub-specialties: osteoarticular, cervical region, thorax, cardiovascular, abdomen and pelvis.
Because the time available to interpret imaging exams is limited and precious, we have designed a clear and intuitive interface and an optimized search function.
All content is available offline. Once the app is installed and the data has been downloaded, an internet connection is only required to download the updates.
Radiology Measurements contains the following sections:
Musculoskeletal Radiology
Neuroradiology
Cervicofacial region Radiology
Chest Radiology
Cardiovascular Radiology
Abdominal Radiology
Urogenital Radiology
The application covers multiple imaging modalities: radiography, ultrasound, CT and MRI. The modules are divided into six sub-specialties: osteoarticular, cervical region, thorax, cardiovascular, abdomen and pelvis.
Because the time available to interpret imaging exams is limited and precious, we have designed a clear and intuitive interface and an optimized search function.
All content is available offline. Once the app is installed and the data has been downloaded, an internet connection is only required to download the updates.
Radiology Measurements contains the following sections:
Musculoskeletal Radiology
Neuroradiology
Cervicofacial region Radiology
Chest Radiology
Cardiovascular Radiology
Abdominal Radiology
Urogenital Radiology
在電腦上遊玩Radiology Measurements . 輕易上手.
-
在您的電腦上下載並安裝BlueStacks
-
完成Google登入後即可訪問Play商店,或等你需要訪問Play商店十再登入
-
在右上角的搜索欄中尋找 Radiology Measurements
-
點擊以從搜索結果中安裝 Radiology Measurements
-
完成Google登入(如果您跳過了步驟2),以安裝 Radiology Measurements
-
在首頁畫面中點擊 Radiology Measurements 圖標來啟動遊戲