Radiology Cases: Chest
Spiele auf dem PC mit BlueStacks - der Android-Gaming-Plattform, der über 500 Millionen Spieler vertrauen.
Seite geändert am: Nov 01, 2025
Übersicht
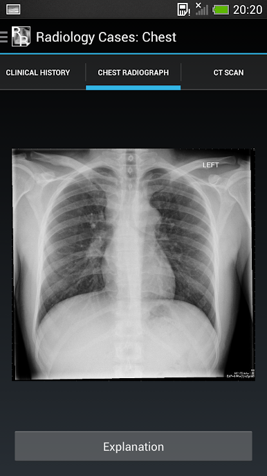
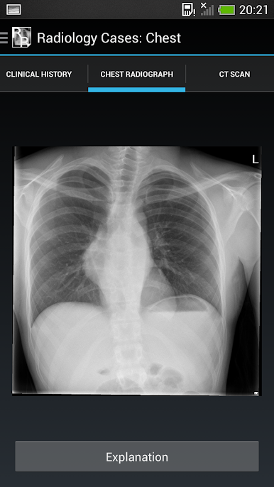
It consists of 26 cases, each with a brief history and a chest x-ray. The user should try to interpret each chest x-ray before revealing the explanations at the bottom of each page.
The aim is to gain an understanding of the basic principles of chest x-ray interpretation and specific radiographic features of common diseases. The diseases encountered are discussed along the way and many of the cases have a scrollable
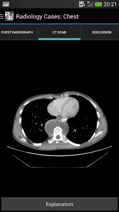
CT to help with understanding the chest x-ray appearances.
We hope you find the app useful. If you have any feedback, we would be grateful to hear from you at radrevision@gmail.com.
Spiele Radiology Cases: Chest auf dem PC. Der Einstieg ist einfach.
-
Lade BlueStacks herunter und installiere es auf deinem PC
-
Schließe die Google-Anmeldung ab, um auf den Play Store zuzugreifen, oder mache es später
-
Suche in der Suchleiste oben rechts nach Radiology Cases: Chest
-
Klicke hier, um Radiology Cases: Chest aus den Suchergebnissen zu installieren
-
Schließe die Google-Anmeldung ab (wenn du Schritt 2 übersprungen hast), um Radiology Cases: Chest zu installieren.
-
Klicke auf dem Startbildschirm auf das Radiology Cases: Chest Symbol, um mit dem Spielen zu beginnen